٤ شوال ١٤٤٧هـ - ٢٣ مارس ٢٠٢٦م
الاشتراك في النشرة البريدية
عين الرياض
الرعاية الصحية | الأربعاء 2 نوفمبر, 2016 2:30 مساءً |
مشاركة:

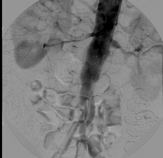
نجاح ثالث عملية لإصلاح الشريان الأورطي فى المستشفى السعودى الألمانى بالرياض

 

نجح فريق الأشعة التداخلية بالتعاون مع قسم جراحة الأوعية الدموية فى المستشفى السعودي الألماني بالرياض، في إجراء عملية لإصلاح الشريان الأورطي عن طريق تركيب دعامات بواسطة القسطرة التداخلية "إيفار" عن طريق فتحة صغيرة فى الجلد.

ويعتمد الأسلوب الجديد على تصليح التمدد بالشريان الأورطي عن طريق تركيب دعامة صناعية من خلال قسطرة يتم إدخالها من شرياني الفخذين، مما يعجل بالشفاء ويقلل المضاعفات الجراحية والنزيف ومدة البقاء تحت الرعاية المركزة خاصة لبعض الحالات التي لا تسمح حالتهم البدنية والصحية بالتخدير فضلاً عن اختصار زمن وتكلفة العلاج مقارنة بالعمليات الجراحية التقليدية، حيث كان في السابق يتم إجراؤها عن طريق الشق الجراحي وما يعقبه من آلام شديدة للمريض ومضاعفات جانبية وطول فترة البقاء في المستشفى.

مشاركة:
طباعة
اكتب تعليقك
إضافة إلى عين الرياض
أخبار متعلقة
الأخبار المفضلة